
院長 / ニュースレター / 2014.11.9 15:58
今日は「卵巣がん」が腹膜転移を起こしていた事例をご紹介。
ただし、最初に断っておきますが手術の際に「もはや打つ手なし」と判断し抗癌剤投与などは行わずですが、せめてもと思い鎮痛剤のみ投与していましたが・・・術後1年以上経過して今なお元気にしているという稀有な事例です。
15歳になる雑種犬です。
フィラリア予防でしか来院歴のない犬でしたが、来院時体重が激減してたので、体調変化などないの?と聞いたとこと、なんとなく元気がないけど年のせいだろう、という返事でした。
いやいや そういう問題ではないでしょうと思い話を続けましたが、こういう場合こちらはどこかに病的異常があるだろうと確信に近いものがあるのですが、飼い主さんとの「温度差」が激しいのでその差を埋める作業が必要です。時間(数ヶ月)をかけて説得をしてようやく検査に同意を得られたのでまずは「高齢検診」という名目(この方が費用が抑えられる設定にしてあります)で検査を行いました。
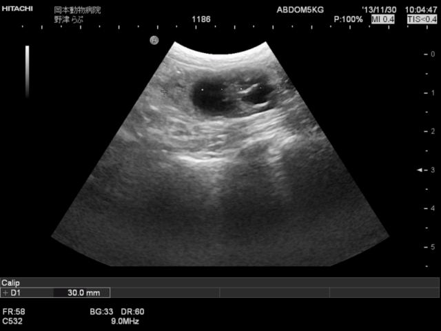
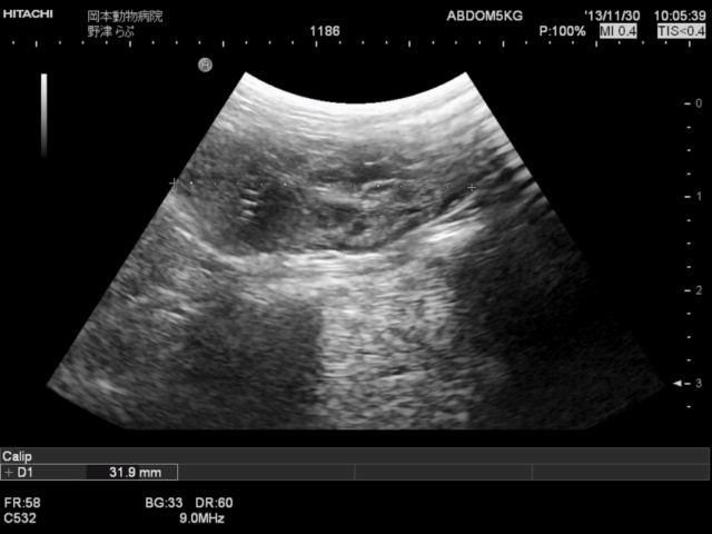
検査内容は、血液(CBC・化学検査・電解質・塗抹)レントゲン(胸部・腹部)そしてエコー(心臓・腹部臓器全般)となっています。
その結果、あちらこちらに異常所見が見つかりましたが、最も重要な所見として卵巣の異常を指摘しました。


そして手術となったわけですが、腹腔内には血様腹水があり卵巣はもちろん、膀胱・腹膜まで播種(細かな転移巣)が見られました。



卵巣は病理検査の結果卵巣がんということでしたので、予後不良と判断したのですが、こちらの意に反して犬は術後すこぶる元気となり食欲も旺盛となりました。
とは言え一時的なものだろうと思っていたのですが・・・
現在術後1年が経過しています。
飼い主さんの話では「最近は特に調子がいいみたいで散歩も喜んでいくようになった」とのこと。
それはそれは嬉しいことなのですが、獣医学の常識からすれば「ありえない」ことだと思うんです。
「たられば」の話はダメでしょうけど、もしもあの時手術をしなかったらどうなっていたでしょう?
もしも術後抗がん剤投与を行っていたらどうなったでしょう?
いろんなことを考えるのですが、結局今回のような処置、すなわち
「手術」と「鎮痛剤」だけ、というのが一番バランスがよかったのかも?と思います。
現在、2週間に一度飼い主さんが薬を取りにこられますが、その都度思うのは、これが「必要最低限」ということなのだろうなぁ、ということです。
「ベスト」を尽くすのは当然として、「ベスト」の治療がいいとは限らない。「ベター」だとしても結果が伴えばそれは「ベスト」となるだろう、なんてことを思い知った事例です。
![]()
このサイトはjavascriptを有効にしてご覧ください。また読み込みにお時間がかかる場合がございます。
![]()
当院は診療料金を現金の他、クレジットカード(VISA・MASTER)、WAONで支払いいただけます。
※支払い回数は1回のみです。
※WAONのチャージはできません。