
院長 / ニュースレター / 2014.11.4 20:01
犬では時々見られますが、猫は案外珍しいと思います。
今回は「会陰ヘルニア」をご紹介しましょう。
会陰とは肛門の脇の部分を指します。
ここは肛門周囲の筋肉と後肢の筋肉の境目で、過剰な外力が加わることでパクッと裂けることがありまして、その結果腹腔内の臓器が飛び出してくる(ヘルニア)というのが会陰ヘルニアです。
原因としては、雄犬で多く見られるのが前立腺肥大で、雌犬では妊娠がきっかけにあることもあります。
また時に交通事故や高所からの転落などの外傷によるものもあります。
今回の症例は猫の会陰ヘルニアです。
私の経験上、猫・・・あまりないですね。
おそらく外傷によるものと推察された事例です。
ヘルニアですから、裂けた部分を縫着すればいいのですが、会陰ヘルニアに関しては他のヘルニアと比べると再発率が高いのが特徴で、実に様々な手術方法が報告されています。
私もその全ての手技を習得しているわけではありませんが、どの方法がいいのかは・・・・よくわかりません(笑)
当院でよく行うのはシリコンプレート装着法でして、大抵はこれで治まりますが、時にシリコンが術後に出てくるものもいます。
異物反応の結果ではないかと思いますが、その場合は再手術となる・・・はずなんですが、そうなったのは1例だけでした。
結合組織が増生してヘルニア孔を塞いでいることが多かったですね。
非常にラッキーだと思います。
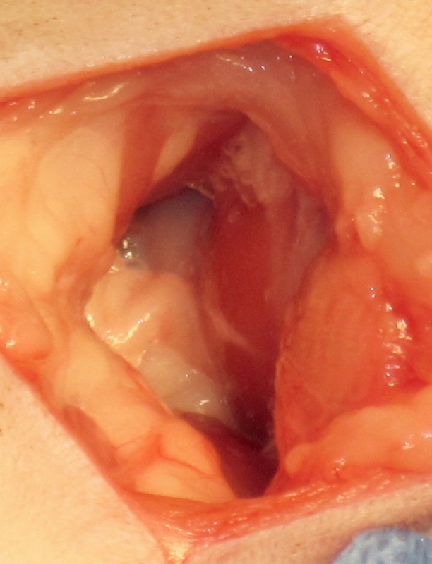
パックリを口を開けたようになっています。
この「孔」を塞がなければなりません、が・・・
今回は最も単純な方法、筋肉縫合のみで整復可能でした。
今回の事例は雌でしたが、雄猫には、私の知る限り前立腺肥大という疾患がない、らしいです。
猫にも前立腺はありますし、老齢性変化として肥大してきてもおかしくないと思うんですけど・・・これも不思議ですね。
![]()
このサイトはjavascriptを有効にしてご覧ください。また読み込みにお時間がかかる場合がございます。
![]()
当院は診療料金を現金の他、クレジットカード(VISA・MASTER)、WAONで支払いいただけます。
※支払い回数は1回のみです。
※WAONのチャージはできません。